• Call Us for Appointment : 9033033269
  • Clinc Timings :  Monday - Saturday 10:00 AM TO 8:00 PM

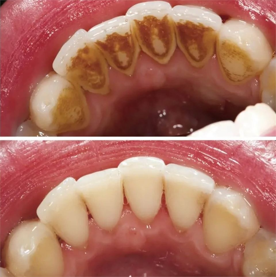
Scaling and Polishing

Scaling & Polishing: A Key to Maintaining Oral Health

What is Scaling?
Scaling and polishing are essential dental procedures designed to keep your teeth and gums healthy by removing plaque, tartar, and surface stains that regular brushing and flossing cannot eliminate. It is done using a piezoelectric machine. Scaling is a deep cleaning process where a dentist or hygienist uses specialized tools to remove:

  • Plaque: A sticky film of bacteria that forms on teeth.
  • Tartar (Calculus): Hardened plaque that can only be removed by a professional.
Scaling focuses on cleaning below the gumline, especially in areas that may lead to gum disease if left untreated.

What is Polishing?
Polishing is the next step after scaling. It involves smoothing and shining the teeth’s surface using a special paste. This process:
  • Removes surface stains caused by food, drinks, or smoking.
  • Leaves teeth smoother, making it harder for plaque to stick in the future.

Benefits of Scaling & Polishing:
  • Prevents gum disease like pyorrhea and cavities.
  • Freshens breath by removing bacteria and tartar buildup.
  • Improves the appearance of your smile by removing stains.
  • Helps to maintain the health of your teeth and gums for long-term because poor gum health can be linked to various systemic diseases like heart diseases, diabetes mellitus and respiratory infections.

How Often Should You Get Scaling & Polishing?
It's generally recommended to have your teeth professionally cleaned every 6 months, but depending on your oral health, your dentist may suggest more frequent visits.

Regular scaling and polishing not only keep your smile bright but also protect your overall dental health.